Имплантация зубов
  Имплантация зубов — это способ установки искусственного «корня», изготовленного из титана, в верхнюю или нижнюю челюсть. Имплантаты применяются как опоры, на которые крепятся либо коронки (заменяющие утраченные зубы), либо съемные или несъемные зубные протезы.
 
При замещении имплантатами одного, нескольких или всех зубов, для долгосрочного их функционирования и достижения эстетического результата необходимо придерживаться четкого алгоритма имплантологического лечения
 
Алгоритм имплантологического лечения при имплантации зубов.
 
1.Пройти диагностическое обследование - компьютерную томограмму, которая является трехмерным изображением, поэтому позволяет с высокой точностью выявить положение, форму, размеры и строение различных участков верхней и нижней челюсти. Благодаря этому, она является одним из ключевых инструментов современной диагностики в стоматологии.
 

 
Фото. Трехмерное изображение челюстей.
 
2.После этого мы определяем суммарный риск, в котором учитываются Ваши ожидания, высота линии улыбки, биотип десны в области лечения, форма сохранившихся и восстанавливаемых зубов, ширина и высота кости и мягких тканей в области отсутствия зубов.
 
3.Когда принято решение, изготавливается восковая модель, отображающая желаемое положение края десны, форму коронки/коронок и зубодесневых сосочков. По дубликату такой модели создают хирургический шаблон; таким образом, имплантолог может четко позиционировать имплантат/имплантаты.
 

 
Фото. Восковая модель.
 
4. Далее приступают непосредственно к имплантации зубов и/или восстановлению костной ткани/десны.
 
5.Через некоторое время производят второй хирургический этап - установку формирователя десны или абатмента.
 
6.После чего в эстетически значимой зоне изготавливают временную коронку на имплантате.
 
7.Только после всех этих этапов приступают к изготовлению постоянной коронки.
 

 
Фото. Имплантат, абатмент, коронка.
 
Четкое соблюдение алгоритма имплантологического лечения позволяет реабилитировать участок адентии (беззубый участок) красивой и долгосрочной реставрацией на имплантате.
 
Выбор имплантационной системы
На сегодняшний день на стоматологическом рынке существуют сотни имплантационных систем. Большинство имплантатов попадают в продажу, не имея достаточной клинической документации, научных данных и компании-производители начинают проводить клинические исследования уже после начала продажи имплантатов.
 
Результаты долгосрочных клинических исследований (более 10 лет после установки имплантатов) официально опубликованы "большой пятеркой", которая занимает более 85-95% мирового рынка: Straumann, Biomet3i, Dentsply/Friadent, Astra Tech, Nobel Biocare.
 
При выборе имплантологической системы мы руководствуемся следующими параметрами:
· обязательное участие в научно-доказательных исследованиях;
· новейшие технологии на основе практических результатов;
· точная посадка;
· соединение QuickSeat® сопровождается звуковым и тактильным сигналом «клик» при установке абатмента или слепочного модуля. Мы можем быть уверены в правильной посадке и стабильности;
· глубокая (4мм) посадка внутреннего соединения;
· толстые коронарные стенки имплантата (избежание перелома имплантата);
· уникальная особенность соединения - отсутствие остаточного напряжения сведены к нулю (риски перелома имплантата и раскручивания абатмента).
 

 
Фото. Уникальная особенность соединения имплантат-абатмент.
 
Поверхность имплантатов
Поверхность имплантатов NanoTite™ создана на основе поверхности OSSEOTITE®, которая успешно используется в импланотологии уже более 10 лет.
Сочетание поверхности OSSEOTITE и техники дискретной диспозиции кристаллов фосфата кальция (СаР) создают более сложную топографию поверхности, что позволяет максимально использовать биологические преимущества фосфата кальция. Данная технология имеет ключевое значение для благоприятной реакции и повышения предсказуемости клинических результатов.
 
Доклинические исследования показали значительное увеличение скорости и степени остеоинтеграции (приживаемости) у имплантатов NanoTite по сравнению со всеми представленными на рынке имплантатами. Клинические ситуации, в которых такой тип имплантатов может иметь преимущества для пациентов и докторов:
· немедленная и ранняя нагрузка;
· одномоментная имплантация(имплантация сразу после удаления зубов);
· эстетически важные зоны, где большое значение имеет сохранение костной ткани;
· имплантация в участках с плохим качеством кости;
· имплантация в участках, требующих применения коротких или широких имплантатов.
 
Замещение имплантатом одного зуба. Вопросы эстетики
Одной из самых сложных задач сегодня считается замещение имплантатом одного зуба в эстетически значимой зоне (передний отдел верхней челюсти, который виден во время разговора, жевания и улыбке). Если 20 лет назад главная цель установки имплантатов заключалась в остеоинтеграции (приживлении имплантата), то сейчас возможность выполнения этой задачи не подвергается сомнению, а ожидаемый срок службы имплантата исчисляется десятилетиями.
 
Пациенты ожидают не только долгосрочного функционирования протезов с опорой на имплантаты, но и их естественного внешнего вида, особенно в эстетически значимой зоне. Имплантация в переднем отделе верхней челюсти представляет собой задачу средней или высокой степени сложности.
 
Международная научная группа по имплантологии (The International Team for Implantology, ITI) дала четкое определение стандартов эстетических несъемных конструкций на имплантатах: «Эстетическим протезом с опорой на имплантаты считают такой, который гармонирует со структурами рта и лицом пациента. Имплантаты должны быть окружены здоровой десной, которая по толщине, цвету и контуру не отличается от десны в области соседних зубов. Ортопедическая конструкция должна имитировать естественные зубы по цвету, форме, характеру поверхности, размеру и оптическим свойствам».
Это идеальное описание правильно выполненной работы.
 
Итак, в эстетической зоне мы начинаем с оценки эстетического риска. Факторы, которые позволяют оценить эстетический потенциал планируемой конструкции на имплантатах:
· ожидания пациента (насколько обоснованы Ваши ожидания);
· курение (пациенты, выкуривающие более 10 сигарет в день, относятся к группе риска);
· высота линии улыбки (количество зубов и десны, видимых при жевании, речи и улыбке).
 
 
Фото. Высота линии улыбки. Чем выше у Вас линия улыбки, тем больше эстетический риск.
 
· ширина и высота кости и мягких тканей (чем больше дефект, тем сложнее создать эстетическую работу).
 

 
Фото. Большой вертикальный дефект на месте удаленных зубов.
 
· соматические заболевания;
· наличие пародонтита;
· уровень самостоятельной гигиены и готовность к сотрудничеству;
· бруксизм.
Выявив суммарный эстетический риск определяется вероятность неблагоприятного исхода. Далее приступают к планированию по замещению имплантатом одного зуба.
 
Если имеются дефекты кости и /или мягких тканей, то их необходимо устранить до имплантации или одновременно с ней. Во время прохождения радиологического исследования на основании восковой модели изготавливается хирургический шаблон, который поможет нам во время операции правильно установить имплантат.

Фото. Хирургический шаблон.
 
После установки имплантата планируется изготовление временной конструкции, которую фиксируют на срок от нескольких недель до нескольких месяцев. Вот варианты идеальной временной конструкции при замещении имплантатом одного зуба:
 
Мостовидный протез:
В случае, когда соседние зубы планируются покрывать коронками, временный мостовидный протез обеспечит превосходную эстетику и функцию.
 

 
2. Несьемный протез из усиленной волокном пластмассы.
Если позволяет прикус, Вам установят коронку с крыльями, которые приклеиваю к небным (внутренним) поверхностям соседних зубов.
 
 
3. Ортодонтическая фиксация.
Если у Вас параллельно проводится ортодонтическое лечение (брекеты), можно фиксировать коронку к прямой дуге
 
4. Ретейнер
Коронка фиксируется в каппе,изготовленной в термовакуумном аппарате.
 
5. Съемный частичный протез
Съемная конструкция, которая опирается на небо и соседние зубы.
 

Далее приступаем к внедрению самого имплантата.
 
Замещение имплантатом одного зуба может проводиться одновременно с удалением зуба - непосредственная имплантация, через 5-6 недель после удаления зуба - первично отсроченная, через 4-6 месяцев - вторично отсроченная, а так же с немедленной нагрузкой (когда вместе с имплантатом фиксируется в это же посещение коронка) и двухэтапная - коронка фиксируется к имплантату спустя 3 месяца после его внедрения.
Выбор методики остается за врачем.
 
Классическая операция по установке имплантата выглядит следующим образом: под местным обезболиванием производят разрез мягких тканей, которые отодвигаются, обнажая костную ткань. В кость челюсти, предварительно подготовив ложе, внедряют имплантат, затем закрывают мягкими тканями и накладывают швы.
 
В течении 3 месяцев имплантат остеоинтегрируется (срастается с костью) и все это время Вы пользуетесь одним из видов временного протеза. Через 12 недель после операции проводится второй хирургический этап - устанавливается формировать десны сроком на 14 дней.
 
Далее фиксируем провизорную (временную) коронку и с ее помощью за несколько визитов формируем десневой контур. С провизорной коронкой необходимо ходить около 3 месяцев и только по истечении этого срока фиксируют изготовленную зубным техником, постоянную реставрацию (коронку).
 
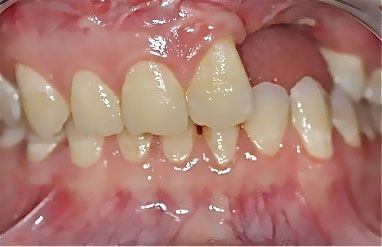
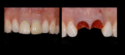
Фото. Удаление 11, 21 зубов из-за большой потери твердых тканей зубов.
 
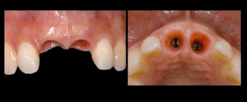
Фото. Внедрены 2 имплантата в области 11, 21 зубов.
 
Фото. Фиксированы трансферы для снятия оттисков и изготовления временных реставраций.
 

Фото. Фиксированы временные реставрации для формирования мягких тканей.
 

Фото. Сформированные мягкие ткани готовы для фиксации постоянных коронок.
 

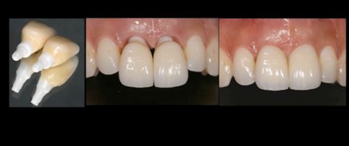
Фото. Фиксированы постоянны цельно-керамические рестарвации (коронки).
 
 
Так выглядит современный протокол по замещению имплантатом одного зуба
Коронка на имплантате может быть временной на цементной или винтовой фиксации и, позднее, окончательной цельнокерамической или металлокерамической с винтовой или цементной фиксацией.Вид ортопедической конструкции выбирает врач, ориентируясь на глубину расположения платформы имплантата и оси его наклона.
Имплантация при частичной потере зубов
Имплантация при частичной потере зубов имеет определенные особенности и требования. При планировании учитывают количество отсутствующих зубов и степень атрофии альвеолярного отростка (место, где ранее располагались зубы). Перед имплантацией изготавливают хирургический шаблон, который поможет геометрически правильно расположить имплантаты.
 
Фото. Хирургический шаблон в полости рта.
 
При потере 7-8 моляра рекомендуют внедрять 1 имплантат, 6-8 моляры восполняют 1-2 имплантатами, отсутствие от 5-го до 8-го зубов возмещают 2-3 имплантатами, а от 4-го до 8-го - тремя. Имплантаты устанавливаются на расстоянии 1,5 мм до зуба и 3 мм между самими имплантатами.
 

Фото. Оптимальное расстояние между имплантатами и зубами.
 
Альвеолярная кость должна иметь толщину 6-7 мм и высоту до анатомически значимой зоны - не менее 8 мм. При недостаточном объеме кости необходимо прибегать к ее увеличению. Не рекомендуется одной ортопедической конструкцией объединять зубы и имплантаты, т.к. это приводит к непродолжительной службе последних.
Имплантация при частичной потере зубов как правило сопровождается медикаментозной седацией.
 
 
В «Клинике эстетической стоматологии» проводятся амбулаторные хирургические операции в полости рта любой сложность. Более подробно Вы можете узнать на нашем сайте kes.com.ua или позвонив по телефону 044-230-83-88.
   При замещении имплантатами одного, нескольких или всех зубов, для долгосрочного их функционирования и достижения эстетического результата необходимо придерживаться четкого алгоритма имплантологического лечения
Алгоритм имплантологического лечения при имплантации зубов.
1.Пройти диагностическое обследование - компьютерную томограмму, которая является трехмерным изображением, поэтому позволяет с высокой точностью выявить положение, форму, размеры и строение различных участков верхней и нижней челюсти. Благодаря этому, она является одним из ключевых инструментов современной диагностики в стоматологии.

Фото. Трехмерное изображение челюстей.
2.После этого мы определяем суммарный риск, в котором учитываются Ваши ожидания, высота линии улыбки, биотип десны в области лечения, форма сохранившихся и восстанавливаемых зубов, ширина и высота кости и мягких тканей в области отсутствия зубов.
3.Когда принято решение, изготавливается восковая модель, отображающая желаемое положение края десны, форму коронки/коронок и зубодесневых сосочков. По дубликату такой модели создают хирургический шаблон; таким образом, имплантолог может четко позиционировать имплантат/имплантаты.

Фото. Восковая модель.
4. Далее приступают непосредственно к имплантации зубов и/или восстановлению костной ткани/десны.
5.Через некоторое время производят второй хирургический этап - установку формирователя десны или абатмента.
6.После чего в эстетически значимой зоне изготавливают временную коронку на имплантате.
7.Только после всех этих этапов приступают к изготовлению постоянной коронки.

Фото. Имплантат, абатмент, коронка.
Четкое соблюдение алгоритма имплантологического лечения позволяет реабилитировать участок адентии (беззубый участок) красивой и долгосрочной реставрацией на имплантате.
Выбор имплантационной системы
На сегодняшний день на стоматологическом рынке существуют сотни имплантационных систем. Большинство имплантатов попадают в продажу, не имея достаточной клинической документации, научных данных и компании-производители начинают проводить клинические исследования уже после начала продажи имплантатов.
Результаты долгосрочных клинических исследований (более 10 лет после установки имплантатов) официально опубликованы "большой пятеркой", которая занимает более 85-95% мирового рынка: Straumann, Biomet3i, Dentsply/Friadent, Astra Tech, Nobel Biocare.
При выборе имплантологической системы мы руководствуемся следующими параметрами:
· обязательное участие в научно-доказательных исследованиях;
· новейшие технологии на основе практических результатов;
· точная посадка;
· соединение QuickSeat® сопровождается звуковым и тактильным сигналом «клик» при установке абатмента или слепочного модуля. Мы можем быть уверены в правильной посадке и стабильности;
· глубокая (4мм) посадка внутреннего соединения;
· толстые коронарные стенки имплантата (избежание перелома имплантата);
· уникальная особенность соединения - отсутствие остаточного напряжения сведены к нулю (риски перелома имплантата и раскручивания абатмента).

Фото. Уникальная особенность соединения имплантат-абатмент.
Поверхность имплантатов
Поверхность имплантатов NanoTite™ создана на основе поверхности OSSEOTITE®, которая успешно используется в импланотологии уже более 10 лет.
Сочетание поверхности OSSEOTITE и техники дискретной диспозиции кристаллов фосфата кальция (СаР) создают более сложную топографию поверхности, что позволяет максимально использовать биологические преимущества фосфата кальция. Данная технология имеет ключевое значение для благоприятной реакции и повышения предсказуемости клинических результатов.
Доклинические исследования показали значительное увеличение скорости и степени остеоинтеграции (приживаемости) у имплантатов NanoTite по сравнению со всеми представленными на рынке имплантатами. Клинические ситуации, в которых такой тип имплантатов может иметь преимущества для пациентов и докторов:
· немедленная и ранняя нагрузка;
· одномоментная имплантация(имплантация сразу после удаления зубов);
· эстетически важные зоны, где большое значение имеет сохранение костной ткани;
· имплантация в участках с плохим качеством кости;
· имплантация в участках, требующих применения коротких или широких имплантатов.
Замещение имплантатом одного зуба. Вопросы эстетики
Одной из самых сложных задач сегодня считается замещение имплантатом одного зуба в эстетически значимой зоне (передний отдел верхней челюсти, который виден во время разговора, жевания и улыбке). Если 20 лет назад главная цель установки имплантатов заключалась в остеоинтеграции (приживлении имплантата), то сейчас возможность выполнения этой задачи не подвергается сомнению, а ожидаемый срок службы имплантата исчисляется десятилетиями.
Пациенты ожидают не только долгосрочного функционирования протезов с опорой на имплантаты, но и их естественного внешнего вида, особенно в эстетически значимой зоне. Имплантация в переднем отделе верхней челюсти представляет собой задачу средней или высокой степени сложности.
Международная научная группа по имплантологии (The International Team for Implantology, ITI) дала четкое определение стандартов эстетических несъемных конструкций на имплантатах: «Эстетическим протезом с опорой на имплантаты считают такой, который гармонирует со структурами рта и лицом пациента. Имплантаты должны быть окружены здоровой десной, которая по толщине, цвету и контуру не отличается от десны в области соседних зубов. Ортопедическая конструкция должна имитировать естественные зубы по цвету, форме, характеру поверхности, размеру и оптическим свойствам».
Это идеальное описание правильно выполненной работы.
Итак, в эстетической зоне мы начинаем с оценки эстетического риска. Факторы, которые позволяют оценить эстетический потенциал планируемой конструкции на имплантатах:
· ожидания пациента (насколько обоснованы Ваши ожидания);
· курение (пациенты, выкуривающие более 10 сигарет в день, относятся к группе риска);
· высота линии улыбки (количество зубов и десны, видимых при жевании, речи и улыбке).
![]()  | ![]()  | ![]()  | 
Фото. Высота линии улыбки. Чем выше у Вас линия улыбки, тем больше эстетический риск.
· ширина и высота кости и мягких тканей (чем больше дефект, тем сложнее создать эстетическую работу).

Фото. Большой вертикальный дефект на месте удаленных зубов.
· соматические заболевания;
· наличие пародонтита;
· уровень самостоятельной гигиены и готовность к сотрудничеству;
· бруксизм.
Выявив суммарный эстетический риск определяется вероятность неблагоприятного исхода. Далее приступают к планированию по замещению имплантатом одного зуба.
Если имеются дефекты кости и /или мягких тканей, то их необходимо устранить до имплантации или одновременно с ней. Во время прохождения радиологического исследования на основании восковой модели изготавливается хирургический шаблон, который поможет нам во время операции правильно установить имплантат.

Фото. Хирургический шаблон.
После установки имплантата планируется изготовление временной конструкции, которую фиксируют на срок от нескольких недель до нескольких месяцев. Вот варианты идеальной временной конструкции при замещении имплантатом одного зуба:
Мостовидный протез:
В случае, когда соседние зубы планируются покрывать коронками, временный мостовидный протез обеспечит превосходную эстетику и функцию.

2. Несьемный протез из усиленной волокном пластмассы.
Если позволяет прикус, Вам установят коронку с крыльями, которые приклеиваю к небным (внутренним) поверхностям соседних зубов.

3. Ортодонтическая фиксация.
Если у Вас параллельно проводится ортодонтическое лечение (брекеты), можно фиксировать коронку к прямой дуге

4. Ретейнер
Коронка фиксируется в каппе,изготовленной в термовакуумном аппарате.
5. Съемный частичный протез
Съемная конструкция, которая опирается на небо и соседние зубы.

Далее приступаем к внедрению самого имплантата.
Замещение имплантатом одного зуба может проводиться одновременно с удалением зуба - непосредственная имплантация, через 5-6 недель после удаления зуба - первично отсроченная, через 4-6 месяцев - вторично отсроченная, а так же с немедленной нагрузкой (когда вместе с имплантатом фиксируется в это же посещение коронка) и двухэтапная - коронка фиксируется к имплантату спустя 3 месяца после его внедрения.
Выбор методики остается за врачем.
Классическая операция по установке имплантата выглядит следующим образом: под местным обезболиванием производят разрез мягких тканей, которые отодвигаются, обнажая костную ткань. В кость челюсти, предварительно подготовив ложе, внедряют имплантат, затем закрывают мягкими тканями и накладывают швы.
В течении 3 месяцев имплантат остеоинтегрируется (срастается с костью) и все это время Вы пользуетесь одним из видов временного протеза. Через 12 недель после операции проводится второй хирургический этап - устанавливается формировать десны сроком на 14 дней.
Далее фиксируем провизорную (временную) коронку и с ее помощью за несколько визитов формируем десневой контур. С провизорной коронкой необходимо ходить около 3 месяцев и только по истечении этого срока фиксируют изготовленную зубным техником, постоянную реставрацию (коронку).

Фото. Удаление 11, 21 зубов из-за большой потери твердых тканей зубов.

Фото. Внедрены 2 имплантата в области 11, 21 зубов.

Фото. Фиксированы трансферы для снятия оттисков и изготовления временных реставраций.

Фото. Фиксированы временные реставрации для формирования мягких тканей.

Фото. Сформированные мягкие ткани готовы для фиксации постоянных коронок.

Фото. Фиксированы постоянны цельно-керамические рестарвации (коронки).
Так выглядит современный протокол по замещению имплантатом одного зуба
Коронка на имплантате может быть временной на цементной или винтовой фиксации и, позднее, окончательной цельнокерамической или металлокерамической с винтовой или цементной фиксацией.Вид ортопедической конструкции выбирает врач, ориентируясь на глубину расположения платформы имплантата и оси его наклона.
Имплантация при частичной потере зубов
Имплантация при частичной потере зубов имеет определенные особенности и требования. При планировании учитывают количество отсутствующих зубов и степень атрофии альвеолярного отростка (место, где ранее располагались зубы). Перед имплантацией изготавливают хирургический шаблон, который поможет геометрически правильно расположить имплантаты.

Фото. Хирургический шаблон в полости рта.
При потере 7-8 моляра рекомендуют внедрять 1 имплантат, 6-8 моляры восполняют 1-2 имплантатами, отсутствие от 5-го до 8-го зубов возмещают 2-3 имплантатами, а от 4-го до 8-го - тремя. Имплантаты устанавливаются на расстоянии 1,5 мм до зуба и 3 мм между самими имплантатами.

Фото. Оптимальное расстояние между имплантатами и зубами.
Альвеолярная кость должна иметь толщину 6-7 мм и высоту до анатомически значимой зоны - не менее 8 мм. При недостаточном объеме кости необходимо прибегать к ее увеличению. Не рекомендуется одной ортопедической конструкцией объединять зубы и имплантаты, т.к. это приводит к непродолжительной службе последних.
Имплантация при частичной потере зубов как правило сопровождается медикаментозной седацией.
В «Клинике эстетической стоматологии» проводятся амбулаторные хирургические операции в полости рта любой сложность. Более подробно Вы можете узнать на нашем сайте kes.com.ua или позвонив по телефону 044-230-83-88.
Клиника эстетической стоматологии
01001, г. Киев, ул. Паторжинского,14
Тел.:+38 (044) 230-83-88
Тел./факс:+38 (044) 238-60-33
skype: Kes klinika
e-mail: [email protected]
 


 
 
 
 
 
Комментарии