Что происходит с легкими при коронавирусе
COVID-19 может вызывать осложненную пневмонию
Воспаление легких – самое серьезное осложнение коронавируса. На рентгеновских снимках виден так называемый эффект матового стекла. При этом, когда человек выздоравливает, ему необходимо какое-то время на восстановление функции легких.
Влияние коронавируса на легкие
Основные признаки пневмонии при коронавирусе:
- множественные помутнения на снимке (эффект матового стекла);
- утолщение стенок сосудов и периферическое распределение очагов.
Подобные изменения происходят и при «обычной» вирусной пневмонии, правда, масштаб проблемы не так выражен.
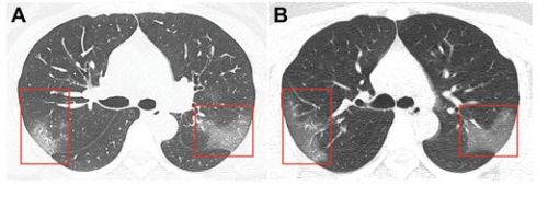
Снимок легких при коронавирусе
Журнал Radiology опубликовал снимок легких 33-летней китаянки. Женщина была госпитализирована с температурой 39 градусов. На рентгене были множественные помутнения. Через три дня ситуация усугубилась – на втором снимке видно, что область «матового стекла» стала больше.

Последствия коронавирусной пневмонии
Одно из долгосрочных последствий такого воспаления легких – фиброз легких, когда легочная ткань затвердевает, а орган не в состоянии нормально функционировать. Китайские врачи говорят, что у некоторых выздоровевших возможности легких снизились на 20-30%. При быстрой ходьбе, беге и других физнагрузках такие люди начинали задыхаться. Чтобы восстановить легкие, рекомендуется физиотерапия, а также физические нагрузки – особенно плавание.
Сегодня нет доказанной связи между смертностью от пневмонии и загрязненностью воздуха. Но в релизе на MedicalExpress сообщается, что при атипичной пневмонии в 2003 году в регионах с умеренно загрязненным воздухом люди умирали чаще на 84 %, чем в регионах с чистым воздухом.
Комментарии