Воспаление легких: причины, симптомы, лечение
Пневмония (воспаление легких) – это воспалительный процесс, развивающийся в одном легком или двух одновременно. Чаще всего пневмония вызвана вирусами, грибками или бактериями. Чтобы назначить правильное лечение, необходимо выяснить, какой конкретно вид заболевания.

Пневмония (воспаление легких) – это воспалительный процесс, развивающийся в одном легком или двух одновременно. Чаще всего пневмония вызвана вирусами, грибками или бактериями. Чтобы назначить правильное лечение, необходимо выяснить, какой конкретно вид заболевания.
Воспаление легких может возникнуть после обычной простуды, поэтому если вы ощущаете специфическую симптоматику пневмонии, срочно покажитесь врачу.
Виды и симптомы воспаления легких
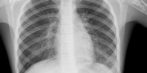
Симптомы пневмонии зависят от причин заболевания, а также от того насколько распространился процесс инфильтрации по тканям легких. По объему поражения различают пневмонию: очаговую, полисегментарную и долевую. Процесс может быть как односторонним, так и двусторонним. Среди главных симптомов: общая слабость, утомляемость, озноб, резкий рост температуры (38-40 градусов). Частым симптомом является сухой кашель (со временем он становится влажным, слизисто-гнойная мокрота тяжело отделяется. Если в процесс вовлекается плевра, при вдохе появляется болевой синдром. При тяжелом течении заболевания происходит одышка, есть бледность или синюшность кожи в области носогубного треугольника. В клинической картине симптомы интоксикации могут весьма преобладать, если пациенты – дети или люди пожилого возраста.
В зависимости от объема поражения тканей легких различают очаговую пневмонию, долевую и тотальную. Очаговая развивается медленно: растет температура, появляется сухой кашель.
Крупозная стартует с повышения температуры (до 39-40 градусов), явного озноба, кашля и болей в грудной клетке. При этом возможна одышка, румянец на щеках, который выражен со стороны поражения.Колебания температуры в сутки – 1,5 градуса. Повышение происходит ближе к вечеру. Если вовремя обратиться за помощью, такие скачки длятся не больше трех дней.
Важно. Пациенту необходима тщательная диагностика, чтобы не перепутать пневмонию с туберкулезом, поскольку симптомы идентичны.
Виды пневмонии по условию возникновения
Бывают внебольничные и госпитальные пневмонии. Госпитальная развивается в условиях стационара через 48 часов после помещения в больницу по другим показаниям. Данный вид воспаления легких выделяют, потому что в стационаре могут развиваться штаммы инфекций, устойчивые к антибиотикам.
Аспирационная – это когда в нижние дыхательные пути попадает содержимое рта, носоглотки либо желудка, а также инородные твердые частицы. Бактерии, которые находятся в аспирационных массах, могут вызвать тяжелое воспаление с выработкой гнойной мокроты и сильным поражением тканей легкого.

Правила лечения воспаления легких
Перед назначением терапии, направленной на лечение, пациент проходит полное обследование в условиях стационара. Если ставится диагноз воспаление легких, но нет температуры и кашля, необходимо исключить, например, туберкулез и онкологию.
Схема лечения и лекарственные препараты подбираются сугубо индивидуально. При этом существует и общий принцип терапии при пневмонии:
1. Антибиотики, которые назначаются в обязательном порядке. При типичном протекании воспаления легких препараты назначаются в таблетированной форме. В остальных случаях – внутривенно.
2. Симптоматическая терапия. Используются муколитики, мукокинетики и жаропонижающие.
3. Физиотерапия. Если у пациента одностороннее воспаление, нет кашля и высокой температуры, то в стационаре ему могут назначить физпроцедуры.
4. Возможно также параллельное лечение травами и дыхательная гимнастика.
Обычно для лечения хватает 10-дневного курса (или двух недель). Если обратиться к врачу вовремя, можно избежать хронической пневмонии и осложнений.
Коментарі