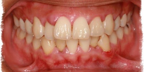
Почему кровоточат десны
Здоровые десны кровоточить не будут, поэтому если у вас наблюдается такой симптом, значит, ткань воспалена.
Возможно, это гингивит или пародонтит. Такие заболевания десен могут протекать как самостоятельно, так и на фоне общих системных инфекций.
Гингивит
Это воспаление слизистой оболочки десен. Десны отечны, кровоточивы, красноваты. Гингивит бывает хронический, острый и язвенный.
Причины: недостаточный уход за полостью рта, зубной налет, зубной камень, кариес, механические повреждения, дефект пломб; эндокринные заболевания, болезни кровеносной или сердечно-сосудистой систем; инфекции или аллергии; ревматизм, сахарный диабет, заболевания печени или желчного пузыря, ослабленный иммунитет, употребление горячей или холодной пищи, курение.

Симптомы: отечность десен, покраснение, гиперплазия, гиперемия, болезненность; дискомфорт при приеме пищи, зуд; повышение температуры, истощение и общая слабость, неприятный запах изо рта; обнажение шейки и корня зуба, боль при приеме горячей и холодной пищи.
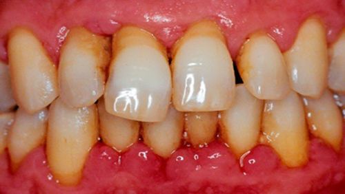
Пародонтит
Это воспаление опорного аппарата зубов – распространенное в стоматологии коварное заболевание. Развивается медленно и сначала боли не вызывает. Далее, когда поражены костные и мягкие ткани опорного аппарата зуба, человек вынужден обратиться к стоматологу.
Причины:
• неправильный уход за зубами, зубной налет, который со временем минерализуется и становится твердым зубным камнем (этому процессу подвержены те, кто несерьезно относится к ежедневному уходу за полостью рта, выбирает неправильную зубную щетку, не пользуется зубной нитью и т.
д.).;• плохое кровоснабжение десен – это заболевание десен часто встречается у тех, кто курит; в дыме сигарет есть вещества, которые приводят к сужению сосудов в тканях десен, что и ухудшает кровообращение; также развитию пародонтита способствует недостаток жевательной нагрузки – когда в рационе много мягкой пищи;
• дефицит питательных веществ – к нехватке нужных витаминов и минералов приводит отсутствие в рационе свежих овощей, фруктов, зелени, рыбы, кисломолочных продуктов и мяса; если скудное питание носит постоянный характер, то обменные процессы в деснах нарушаются, начинается воспаление; негативные последствия возможны при нехватке витаминов А, С и группы В.

Какие еще есть причины кровоточивости десен?
1. Механическое травмирование. Целостность мягких тканей могут нарушать зубочистки, жесткие зубные щетки, неправильная подгонка протезов.
2. Системные патологии (заболевания крови – особенно).
3. Недостаток витамина К, который отвечает за свертываемость крови.
4. Изменение гормонального фона (например, во время беременности у женщин).
5. Когда прорезывается зуб мудрости, десна может кровоточить, особенно если он неправильно расположен.
6. К рыхлости и отекам десен приводит воздействие химических агентов. Если человек работает на вредном производстве, вдыхает курительные смеси, пьет кислотные напитки.

Что делать?
Пасты, гели и всевозможные ополаскиватели, которые активно рекламируются, конечно, могут слегка помочь, но в корне проблему не решат. Если не обратиться за профессиональной помощью, то рано или поздно начнутся необратимые разрушения связок зубов и даже их выпадение.
Этапы лечения
1. Удаление всех зубных отложений. Дома вы никаким способом не сможете устранить твердые наддесневые и поддесневые отложения, поэтому доверьтесь пародонтологу.
2. Медикаментозная терапия. Стоматолог пропишет определенные средства для полоскания ротовой полости и аппликаций (например, «Холисал-гель», «Хлоргексидин»). Они хорошо снимают воспаление. После гигиенических процедур дважды в день нужно прополоскать рот «Хлоргексидином», а затем нанести на десны «Холисал-гель» или аналогичное средство, которое назначит доктор. После этого не есть два часа.
3. Обучение правильному уходу. Стоматолог расскажет, как правильно ухаживать за ротовой полостью, чтобы поддерживать достигнутые результаты лечения. Ведь если все снова пустить на самотек, то появятся отложения и кровоточивость. Лучше использовать мягкую зубную щетку или средней жесткости, зубную пасту – не отбеливающую. Если процесс пародонтита зашел далеко, возможно, понадобится ортопедическое лечение (например, шинирование) – это поможет уберечь зубы от выпадения.
Коментарі