Виниры: зачем они нужны и стоит ли их ставить?
Что такое виниры, зачем они нужны, какие бывают и как их устанавливают.
- Зачем нужны виниры
- Из чего сделаны виниры
- Как ставятся виниры
- Кому показаны виниры
- На какие зубы устанавливают виниры
- Когда нельзя ставить виниры
- Как ухаживать за винирами
- Ставить ли виниры
Все мы мечтаем о красивой белоснежной улыбке. Один из способов этого добиться – установить виниры. Виниры – это тонкие пластинки-накладки, которые ставятся на переднюю часть зубов. Как же устанавливают виниры и кому они подойдут?
Зачем нужны виниры
С помощью виниров можно скрыть эстетические несовершенства зубов, «закрыть» незначительные повреждения. Вот список проблем, с которыми справляются виниры:
- неровности и кривизна зубов;
- пятна на зубах, не поддающиеся отбеливанию;
- сколы зубов;
- широкие промежутки между передними зубами;
- слишком маленькие зубы.
Устанавливаются виниры только на здоровые и целые зубы – если зуб поврежден или слишком разрушен, такая процедура неэффективна. Также виниры не ставят на зубы с большой площадью пломбы и при ярко выраженном дефекте прикуса.
Из чего сделаны виниры
Сегодня стоматология предлагает два типа виниров: керамические и композитные. И хотя их не отличить по внешнему виду, разнятся они методом установки и своим составом. При этом пациенты, которым установили и тот, и другой вид виниров, говорят, что удовлетворены результатом в обоих случаях.
- Керамические виниры. Такие виниры делают индивидуально под определенный зуб. Керамические виниры изготавливают из стеклокерамических смесей, фарфора (полевошпатной керамики) или дисиликата лития. Плюсы керамических виниров: долговечность и отличное прилегание к родному зубу. Минусы керамических виниров: высокая стоимость, для установки нужно посетить стоматолога несколько раз, сложность в ремонте, большой объем стачивания эмали.
- Композитные виниры. Такие виниры делают из композитных смол – они по составу похожи на пломбы. Композитные виниры бывают прямыми и непрямыми. Прямые изготавливаются прямо во рту пациента (они менее прочные), а непрямые – делаются заранее, как и керамические. Плюсы композитных виниров: более демократичная цена, стачивание эмали в незначительном объеме, можно установить за один визит, легкость в ремонте. Минусы композитных виниров: служат в два-четыре раза меньше, чем керамические, менее прочные, часто требуют регулярной замены.
Длительность «носки» виниров зависит от правильности их установки, материала, а также от ухода пациентом за полостью рта. И если несколько лет назад виниры были хрупкими, то сегодня они такие же прочные, как и родная эмаль зуба. При этом виниры не защищают зубы от кариеса и не укрепляют их. Керамические виниры обычно нужно менять раз в 10-15 лет, а композитные – раз в 5-10 лет.
Как сберечь зубы до старости: 5 полезных привычек
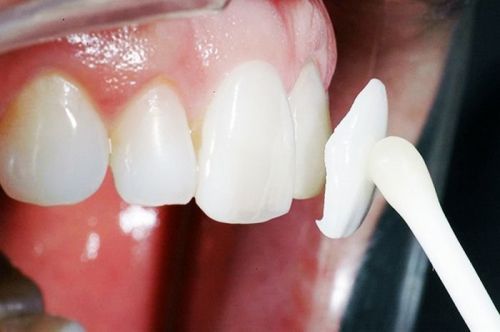
Как ставятся виниры
Керамические виниры выглядят более эстетично, чем композитные, и служат дольше. Чтобы установить керамические виниры, стоматолог сначала подготавливает зуб: с передней части зуба стачивается 0,5-0,7 мм эмали. Затем делается отпечаток и изготавливаются виниры. Временно на подготовленный зуб накладывается специальный элемент, защищающий его от внешних факторов. Далее виниры фиксируют специальным клеем (бондом), который полностью покрывает пространство между зубом и виниром.
Композитные виниры делают из пломбировочных материалов, причем винир можно сделать сразу во рту пациента. Этот метод называют художественной реставрацией зуба для изменения его цвета и формы. Композитные виниры накладываются не только на переднюю часть зуба, а на всю его площадь, где есть разрушения.
Кому показаны виниры
Установить виниры можно тем пациентам, у которых:
- зубы разного оттенка;
- много пломб и реставраций;
- имеются сколы и трещины на передних зубах;
- зубы повреждены из-за кариеса или травм;
- неправильное положение зубов, их искривление (виниры – отличная альтернатива брекетам);
- есть несовершенства эмали на передних зубах (пятна, кариес, неодинаковый цвет зубов);
- неэстетичная форма зубов, щели между зубами (диастемы);
- серые или «мертвые» зубы из-за удаления нерва.
Так что если вид ваших передних зубов вас не устраивает, виниры – отличное решение проблемы.
На какие зубы устанавливают виниры
Обычно виниры ставят на шесть фронтальных (передних) зубов – резцы и клыки. Иногда винирами покрывают только четыре резца – все это индивидуально и обсуждается со стоматологом во время консультации.
Стоматит у ребенка: как лечить?
Когда нельзя ставить виниры
Есть перечень противопоказаний к установке виниров. Обычно их не ставят:
- если зуб разрушен (в этом случае оптимальный вариант реставрации – коронка);
- если у пациента есть привычка грызть ногти (карандаши, ручки);
- если у человека есть склонность к скрежету зубами (бруксизм);
- есть уже сформированный прямой неправильный прикус;
- когда зубная эмаль слишком стерта;
- когда отсутствуют жевательные (задние) зубы – в этом случае нагрузка на передние зубы слишком большая.
Кстати, отличие винира от коронки в том, что для установки коронки нужно обточить весь зуб, а для виниров – лишь переднюю часть зуба. Если вы хотите выровнять зубы, то лучше перед установкой виниров воспользоваться брекет-системой, ведь виниры не выравнивают зубы, а лишь визуально создают такой эффект.

Как ухаживать за винирами
Особых требований по уходу за винирами нет. Но важно беречь их от резких перепадов температур и от механических повреждений (не разгрызать твердые предметы). Все остальное – как и уход за зубами для всех: чистка дважды в день, зубная нить и профилактические осмотры стоматолога раз в полгода. Если у вас виниры, нет никаких ограничений по напиткам и курению.
Ставить ли виниры
Прежде всего виниры подойдут тем, у кого здоровые зубы, но есть желание придать красоту улыбке. Но стоит помнить, что установка виниров – процесс необратимый, ведь стоматолог стачивает слой эмали зуба, выбирает форму и цвет пластинки. Хорошие виниры при профессиональной установке прослужат 10-20 лет, а потом их нужно будет менять.
Комментарии