Сыпь на коже: причины, виды, заболевания (55 ФОТО)
Сыпь – это резкое появление на коже или на слизистых оболочках разных изменений, которые отличаются от обычной кожи по внешнему виду и цвету. Часто сопровождаются зудом и покраснением.
Сыпь может быть местной реакцией эпидермиса на какой-либо раздражающий фактор или симптомом заболевания. Существует десяток заболеваний кожи, а также инфекционных болезней, при которых обязательно появляется сыпь. И несколько сотен – когда сыпь возможна.
Причины сыпи
Существуют заболевания, когда на коже или на слизистых может появиться сыпь:
• инфекционные болезни;
• аллергические;
• болезни сосудов и крови.
Чаще всего сыпь появляется при инфекционных заболеваниях (корь, краснуха, ветряная оспа, скарлатина, герпес, инфекционный мононуклеоз, инфекционная эритема и т. д.). Кроме кожных реакций, обязательно есть и другие симптомы: повышенная температура тела, отсутствие аппетита, озноб, боль (в горле, головная), насморк, кашель или диарея.
Аллергическая сыпь – также не редкость. Ее можно заподозрить, если был контакт с источником аллергии но нет признаков инфекции. Аллергенами могут быть: цитрусовые, шоколад, яйца, мед, лекарства, краска, духи, стиральный порошок, шерсть животных и т. д.
При заболеваниях крови и сосудов сыпь возникает по таким причинам:
• уменьшение количества или нарушение функций тромбоцитов;
• нарушение проницаемости сосудов.
Виды сыпи
1. Пузырек, который заполнен жидкостью (диаметр – 0,5 см). Чаще всего это свидетельствует о таких заболеваниях, как: герпес, экзема, аллергический дерматит, ветряная оспа, опоясывающий лишай.
2. Гнойничок, внутри которого – гнойное содержимое. Так проявляются фолликулиты, фурункулез, импетиго, пиодермии, угри.
3. Волдыри возникают обычно как аллергическая реакция и проходят через некоторое время. Они появляются как реакция на укус насекомого, при ожоге крапивой, бывают при крапивнице, токсикодермиях.
4. Пятна – это покраснение или обесцвечивание отдельных участков кожи. Бывают при сифилитической розеоле, дерматитах, лейкодерме, витилиго, брюшном и сыпном тифе. Родинки, веснушки и загар – это пигментированные пятна.
5. Эритема – это резко ограниченный участок кожи красного цвета, который слегка возвышается. Возникает у людей с повышенной чувствительностью к некоторым продуктам (например, к клубнике, яйцам), медикаментам, после загара, при рожистом воспалении. В случае инфекционного заболевания или ревматизма возможны экссудативная или узловатая эритема.
6. Пурпура – кровоизлияния на коже различного размера (мелкие, точечные или крупные синяки). Такое возможно при гемофилии (когда нарушается свертываемость крови), болезни Верльгофа, капилляротоксикозе, лейкозах, цинге.
7. Узелок – это изменение рельефа, цвета и консистенции кожи. Размеры узелка – 1-3 мм – 1-3 см в диаметре. Это может быть псориаз, красный плоский лишай, бородавки, атопический дерматит, папиллома, экзема.
8. Узел отличается от узелка размерами. Он может достигать диаметра до 10 см и располагаться глубоко в коже. Когда узел исчезает, часто после этого остается рубец.
А теперь давайте рассмотрим различные примеры сыпи (55 фото)
1. Импетиго
Гнойничковое поражение кожи, вызванное бактериями группы стрептококков и стафилококков. Имеет пустулезный характер. На месте лопнувших гнойничков образуются корочки.

2. Опоясывающий герпес (лишай)
Вызван вирусом ветряной оспы (семейство герпесвирусов). Характерно одностороннее распространение сыпи по ходу нервных стволов. Параллельный симптом – болевые ощущения.

3. Скабиес (чесотка)
Заболевание вызвано чесоточным клещом. Проявляется папуловезикулезной сыпью, зудом, множественными расчесами, вторичными гнойничковыми поражениями кожи.

4. Экзема
Это острое или хроническое заболевание кожи воспалительного характера, которое не передается от человека к человеку. Основными симптомами являются чувство жжения, зуд и частые рецидивы.

5. Скарлатина
Провоцирует заболевание гемолитический стрептококк группы А. Характеризуется мелкоточечной сыпью, шелушением, «малиновым» языком, повышением температуры и тонзиллитом.

6. Инфекционный мононуклеоз
Патология вирусного характера. Пятна неправильной формы. Средний размер высыпаний – 5-15 мм.

7. Корь
Инфекционное заболевание вирусного происхождения с высокой степенью восприимчивости. Симптомы: пятнисто-папулезная сыпь, интоксикация, повышение температуры тела.

8. Ветряная оспа
Инфекционное заболевание, передающееся воздушно-капельным путем. Возбудитель – вирус варицелла-зостер. Характеризуется папуловезикулезной сыпью и повышением температуры.

9. Краснуха
В самом начале развития заболевания краснуха похожа на корь, затем напоминает скарлатину. Высыпания локализуются на лице, пояснице, сгибах рук и ног. Сыпь со временем бесследно пропадает, не сопровождаясь пигментацией и шелушением.

10. Сепсис
Это системная воспалительная реакция организма на попадание в кровь инфекции. При данной патологии кожа становится бледно-серой. При сепсисе появляются герпетические высыпания на губах и сыпь геморрагического характера на коже.

11. Системная красная волчанка
Диффузное заболевание соединительной ткани, характеризующееся сыпью на щеках в виде «бабочки». На руках и туловище появляются красные пятна.

12. Синдром «рука-нога-рот»
Энтеровирусный везикулярный стоматит – это пятна в сочетании со множественными везикулами на ладонях, подошвах, ягодицах и губах. Сыпь сопровождается зудом.

13. Синдром Кавасаки
Эритема или трещины на губах, эритема ладоней и стоп. На кончиках пальцев появляется шелушение. Экзантема не имеет корочек и пузырьков.

14. Контактный дерматит
Кожное заболевание воспалительного характера, которое начинается из-за реакции на аллерген, химическое вещество или УФ-излучение.

15. Дерматомиозит
Гелиотропная сыпь и симптом Готтрона – такими кожными проявлениями характеризуется данное заболевание.
Гелиотропная сыпь – это кожные высыпания красного цвета на верхних веках, при этом отечность вокруг глаз. Симптом Готтрона – красные или розовые шелушащиеся узелки на разгибательных поверхностях суставов.
16. Саркоидоз
Системная патология, при которой поражены многие органы – в них образуются гранулемы. На коже голеней при этом проявляется узловатая эритема.

17. Фенилкетонурия
Это наследственное заболевание, при котором нарушается метаболизм аминокислот. Из-за дефицита мелатонина кожа светлеет, появляются красные пятна.

18. Порфирия
При этом заболевании происходит гиперпигментация кожи, повышается ее травматизация. Попадание прямых солнечных лучей вызывает эрозии и трещины.

19. Инфекционная эритема
Острое вирусное заболевание, при котором повышается температура тела, появляются красные пятна на щеках и кружевная сыпь на туловище и конечностях.

20. Аллергическая крапивница
Группа заболеваний, которые характеризуются развитием плоско приподнятых зудящих волдырей.

21. Фолликулит
Воспаление волосяного фолликула. Возбудитель – бактериальная инфекция стафилококковой природы.

22. Фурункулез
Главные симптомы – характерный узел в области фолликула ярко-красного оттенка, покраснение пораженного места, боль при нажатии на фурункул, отечность пораженного места, повышение температуры тела, общая интоксикация организма.

23. Пиодермия
Гнойно-воспалительное кожное заболевание, которое вызвано стрептококками, стафилококками, реже – синегнойной палочкой, пневмококками.

24. Акне
Хроническое воспалительное заболевание сальных желез из-за их закупорки при повышенной секреции кожного сала.

25. Стригущий лишай (микроспория)
Заразное кожное заболевание, при котором поражаются кожа, волосы, иногда – ногти. Заражению способствуют мелкие повреждения кожи и ослабленный иммунитет. Переносчики – больные животные, а также предметы быта, содержащие споры грибка.

26. Красный плоский лишай
Хроническое заболевание, сыпь локализуется на голеностопах, внутренних поверхностях предплечий, лучезапястных суставах, слизистых и ногтях.

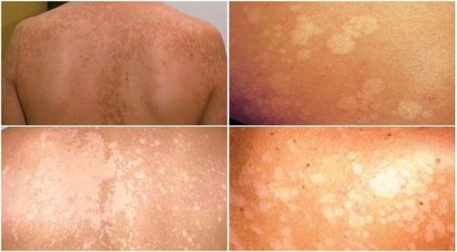
27. Отрубевидный (разноцветный) лишай
Возникновение на коже несимметричных пятен разных оттенков (розового, желтого, коричневого). Постепенно они сливаются в большие очаги с неровными краями. Оттенок пятен может меняться. Если человек загорает, они белеют или розовеют.

28. Токсикодермия
Острое воспалительное заболевание кожи или слизистых, которое возникает на прием внутрь, вдыхание или введение в организм веществ-аллергенов, обладающих токсическими действиями.

39. Ожог крапивой
На листьях и стеблях крапивы находятся «волоски», которые действуют как иглы при прикосновении к коже.
Химические вещества растения проходят сквозь эти полые трубочки и вызывают сыпь, зуд и жжение.
30. Ожог борщевиком
Причина ожога – два фактора: сок растения и УФ-лучи. Попав на кожу, сок нейтрализует естественную защиту, поэтому можно получить ожог І или ІІ степени.

31. Сифилитическая розеола
Розовые, а позже бледные высыпания с размытыми контурами и гладкой поверхностью. Их диаметр – не больше 1 см. Ежедневно появляется около десятка новых элементов сыпи. Длительная розеола становится желто-бурого цвета. Расположена такая сыпь беспорядочно, не затрагиваются только лицо, кисти и стопы.

32. Витилиго
Нарушение пигментации кожи. При этом полностью исчезает или уменьшается выработка меланина (красящего пигмента) – появляются пятна белого цвета (на руках, животе, шее, лице и даже слизистой рта, полости носа и на сетчатке глаза).

33. Псориаз
Бляшки от розового до красного цвета, которые покрыты корочкой серебристого оттенка из ороговевших клеток эпителия.

34. Эпидемический сыпной тиф
Инкубационный период – 7-14 дней, лихорадка, головная боль, общая слабость, температура достигает 40 градусов. Маленькие, розовые пятнышки, появляющиеся на 4–6-й день, быстро покрывают тело, обычно в подмышечных впадинах и на верхней части туловища. Позже сыпь темнеет и приобретает макуло-папулезный вид.

35. Экссудативная эритема
Острое заболевание инфекционно-аллергического или токсико-аллергического характера. Проявляется синюшно-красными пятнами, папулами, везикулами, эрозиями. В тяжелых случаях возможны поражения и внутренних органов. Симптомы: зуд, жжение, болезненность.

36. Геморрагическая сыпь
Такая сыпь возникает при разрыве капилляров и выходе эритроцитов за пределы сосудов. Сыпь не пальпируется (исключение – воспаление стенок сосудов). От похожих высыпаний отличается тем, что при надавливании не бледнеет и не исчезает.

37. Варикозная экзема
Поражаются чаще всего голени из-за затрудненного кровообращения, реже – дерматит проявляется на сгибах конечностей, в паху. Появляются гнойники, язвы, а сквозь поврежденную кожу могут попадать болезнетворные микроорганизмы, что приводит к развитию вторичной инфекции.

38. Болезнь Лайма
После укуса клеща до развития симптомов может пройти месяц. Типичная сыпь – небольшое красное пятно, затем лихорадка, головная боль, «жесткая» шея, боли в теле, усталость, временный паралич мышц лица, онемение или слабость в конечностях, проблемы с памятью, плохая концентрация внимания, перемены настроения.

39. Вирус Зика
Передается через комариный укус. Симптомы: жар, головная боль, слабость, ломота в суставах и мышцах, конъюнктивит, сыпь, редко – тошнота и диарея.

40. Острая ВИЧ-инфекция
Для кожной сыпи при ВИЧ характерны: микотические проявления, пиодермиты, себорейный дерматит, пятнистая сыпь, злокачественные образования, папулезная сыпь.

41. Лихорадка Эбола
В первые дни Эбола похожа на ангину – воспаляются миндалины, дальше начинается сильная рвота, боли в животе и кровавая диарея.
Затем – кровоточивость кожных покровов и слизистых, внутренних органов, кровавая рвота. Через неделю появляется сыпь.
42. Рожистое воспаление
Человек может заболеть, если у него есть микротравмы кожи. Симптомы болезни: головная боль, озноб, общая слабость, тошнота, рвота, повышение температуры, запор, диарея, боль в мышцах. Проявления рожистого воспаления: ярко-красные образования на коже, болезненность, отечность, быстрый рост пораженного участка, увеличенные лимфоузлы.

43. Ихтиоз
Симптомы: постоянная сухость кожи, образование чешуек светло-серого или белого цвета, а позже – грубых пластин коричневого оттенка, плотных бугорков. Уменьшение ногтевых пластин, их трещины и расслоение. При тяжелом течении заболевания чешуйки могут покрывать все тело, образуя что-то наподобие панциря.

44. Укусы насекомых
1. Клещ

2. Комар

3. Оса

4. Пчела

5. Шершень

6. Блохи

7. Рыжие муравьи

8. Вши

9. Слепни

10. Клопы

11. Оленьи мухи, или златоглазики

12. Паук-отшельник

Коментарі